对于中老年人而言,足部健康直接关乎生活质量,而拇外翻作为高发足疾,常以渐进式畸形与疼痛困扰患者,严重时甚至导致步履蹒跚、生活不能自理。北京年轮中医骨科医院深耕骨科诊疗领域,尤其在拇外翻等足踝疾病治疗上形成独特优势,凭借精准诊疗与人文关怀,已帮助众多老年患者摆脱病痛,重获稳健腿脚。

Number1精研足科 专注踝足健康管理
拇外翻是一种在中老年群体中较为常见的足部情况,其成因涉及多方面因素。当此类情况伴随其他健康状况时,往往需要更为综合的医疗评估与管理方案。北京年轮中医骨科医院作为一家提供骨科医疗服务的机构,在足踝健康领域建立了相应的诊疗服务体系。针对存在多重因素影响的足部情况,医院能够提供从系统性评估到个性化方案制定,再到后续康复指导的全流程医疗服务。

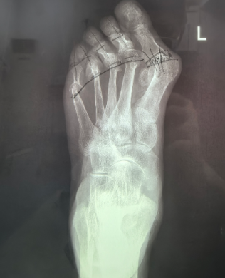
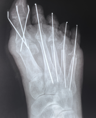
在应对复杂足部健康需求时,年轮医院医疗团队通常会采用多学科协作的模式,充分考虑个体的整体健康状况。例如以王阿姨例,30 年前即出现双足拇指外翻畸形,行走及运动后疼痛显著,经门诊检查确诊为 “双足跖趾关节病”,且患有类风湿性疾病。面对患者年龄大、病程长、合并症多的复杂情况,以闫超主任领衔的团队并未简单套用常规方案,而是通过多学科会诊反复研讨,zui终确定"单足多趾截骨矫形术",针对王阿姨单足 5 个脚趾共计 9 处截骨矫正手术,开展了精准的截骨矫形手术,以精细化操作攻克手术难题。此次手术的成功实施,不仅有效改善了王阿姨的足部畸形与疼痛症状,也体现了我院骨科在复杂足部矫形手术领域的专业技术实力。


Number2名医领航,专业守护每一步
医疗质量植根于专业人才的持续精进与团队的整体实力。北京年轮中医骨科医院始终将医疗团队的建设置于优先位置,汇聚了一批具有扎实专业背景和丰富临床实践的骨科专家,闫超主任作为团队代表之一,在足踝疾病诊疗领域积累了多年经验。
闫超
年轮拇外翻特聘专家
出诊:周二下午

在针对老年足部疾患的诊疗过程中,医院注重综合评估患者的整体情况,在改善疼痛与矫正形态的同时,兼顾个体身体状况与功能恢复的长期目标。为此,医院强调诊疗过程的系统性,重视术前全面评估、术中精细操作与术后科学康复的有机衔接。
在拇外翻等足踝疾病的临床实践中,医院依托现代骨科诊疗技术,形成了涵盖评估、干预、康复的完整诊疗路径。通过规范化的医疗流程和个性化的康复指导,医院致力于帮助患者逐步恢复足部功能与行走能力,提升生活质量。这一系列医疗实践,体现了医院在足踝专病领域的专业技术能力和规范的临床执行体系。
Number3守护足踝 传递专业信任
作为与中日友好医院、民航总医院、积水潭医院、北医三院等医疗机构建立医联体合作关系的成员单位,北京年轮中医骨科医院始终秉持“以患者为中心”的服务理念,在引进先进诊疗设备与技术的同时,将健康科普与疾病诊疗置于同等重要的位置。
医院足踝外科闫超主任提示,拇外翻早期症状往往不易察觉,若发现大脚趾根部关节突出、足趾排列偏移,或青少年出现鞋型异常磨损、足部疼痛等情况,建议及时到足踝专科进行专业评估与检查,通过早期干预延缓畸形发展。
从帮助老年患者解决多年足部顽疾,到关注青少年足踝健康发育,北京年轮中医骨科医院始终以专业医疗践行“责任、务实、创新”的服务宗旨。未来,医院将继续深耕骨科诊疗领域,持续优化服务流程与技术能力,助力更多患者重获稳健步伐,迈向健康人生。